Congenital Pathology of the Kidney Pathology Study Guide

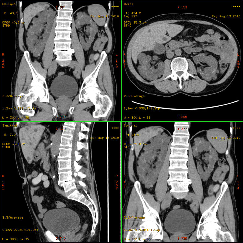
Congenital Horseshoe Kidney
Congenital Horseshoe Kidney. Axial CT image of the abdomen showing a horseshoe kidney. Hellerhoff. Not altered. CC BY-SA 3.0

Congenital Pathology of the Kidney Pathology Video

Congenital pathology of the kidney are disorders that effect the kidneys at birth.

Congenital pathology of the kidney includes:

  • Congenital horseshoe kidney
  • Renal agenesis
  • Dysplastic kidney
  • Polycystic kidney disease
  • Medullary cystic kidney disease

Congenital Horseshoe Kidney

Horseshoe kidney is a type of anomaly where the kidneys are conjoined.

Horseshoe kidneys are the most prevalent congenital renal abnormality.

The connection is usually at the lower pole.

Horseshoe kidney can become stuck on the inferior mesenteric artery root as it ascends from the pelvis to the abdomen, causing the kidney to be improperly placed in the lower abdomen.

Horseshoe kidney is associated with Turner syndrome (monosomy X).

  • Congenital Horseshoe Kidney
    Congenital Horseshoe Kidney. Axial CT image of the abdomen showing a horseshoe kidney. Hellerhoff. Not altered. CC BY-SA 3.0

Renal Agenesis

Renal agenesis is an absent kidney.

In renal agenesis, kidney formation is absent.

The absence may be unilateral or bilateral.

The existing kidney becomes hypertrophic as a result of unilateral agenesis, and this raises the likelihood of renal failure later in life.

Renal agenesis is associated with Potter sequence.

Potter sequence includes the following:

  • Bilateral renal agenesis
  • Oligohydramnios with lung hypoplasia
  • Flat face with low set ears
  • Developmental abnormalities of the extremities
  • Agenesis of the Kidney
    Findings in the large intestine and kidney in the present patient. Total-colon HSCR (a) and right renal agenesis (b) were present. On histologic examination of the kidney, very few glomeruli (0.96/μm2) were present, and glomeruli and renal tubules were enlarged (c Periodic acid-Schiff stain, x400 and d Masson trichrome stain, x100). Heterozygous p.S811F RET gene mutation associated with renal agenesis, oligomeganephronia, and total colonic aganglionosis: a case report: BMC Nephrology. Not altered. CC.

Dysplastic Kidney

Dysplastic kidney is a congenital renal parenchymal abnormality that is not inherited and is characterized by cysts and abnormal tissue.

Dysplastic kidney is typically unilateral.

If bilateral, dysplastic kidney must be separated from inherited polycystic kidney disease.

  • Dysplastic Kidney
    Dysplastic Kidney. Diagram of normal kidney with a multicystic dysplastic kidney on the right of the diagram Colin Kurtz - Not altered. CC BY-SA 4.0

Polycystic Kidney Disease (PKD)

Polycystic kidney disease (PKD) results in enlarged bilateral kidneys caused by an inherited abnormality with cysts in the renal cortex and medulla.

Potter sequence may be present in babies with the autosomal recessive variant, which manifests in infants as increasing renal failure and hypertension.

Polycystic kidney disease is associated with:

  • Hepatic cysts
  • Congenital hepatic fibrosis
  • Portal hypertension

Young people with the autosomal dominant variant typically experience:

  • Hypertension (caused by a rise in renin)
  • Hematuria
  • Progressive renal failure

In polycystic kidney disease, the cysts grow throughout time.

Polycystic kidney disease results from APKD1 or APKD2 gene mutations.

  • Polycystic Kidney Disease
    Polycystic Kidney Disease. This photograph reveals gross pathologic changes in a case of polycystic kidney disease. The two ureters are also visible. CDC/ Dr. Edwin P. Ewing, Jr. Not altered. Public Domain

Medullary Cystic Kidney Disease

Medullary cystic kidney disease results in cysts in the medullary collecting ducts of the kidneys.

Medullary cystic kidney disease is the result of an inherited (autosomal dominant) abnormality.

Renal failure worsens as the kidneys shrink as a result of parenchymal fibrosis.

  • Cystic Disease of the Renal Medulla
    Renal biopsy findings in case 2. (a) periodic acid-methenamine-silver (PAM) stain; original magnification 10×, (b) PAS stain original magnification 200×. Light microscopy images show tubular dilatation and atrophy. Cystic tubules show irregularities and thinning of the tubular epithelial cells. Of seven glomeruli, two are globally sclerotic, one is segmentally sclerotic, and two show glomerular cysts. The other glomeruli are intact. Rapidly Progressive Renal Dysfunction in Two Elderly Patients with Renal Enlargement and Medullary Cystic Kidney Disease-like Acute Tubulointerstitial Injury: Internal Medicine. Not altered. CC.