Gallbladder Pathology and Biliary Tract Pathology Video
Gallbladder and biliary tract pathology includes:
- Biliary atresia
- Gallstones
- Biliary colic
- Acute cholecystitis
- Chronic cholecystitis
- Ascending cholangitis
- Gallstone ileus
- Gallbladder carcinoma
Biliary Atresia
Biliary atresia is due to failure of biliary atresia to develop or early destruction of extrahepatic biliary tree.
Biliary atresia results in biliary obstruction within the initial three months of life.
Biliary atresia presents with jaundice.
Biliary atresia may progress to cirrhosis.
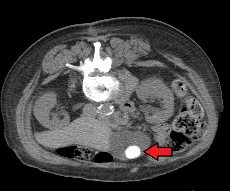
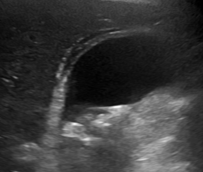
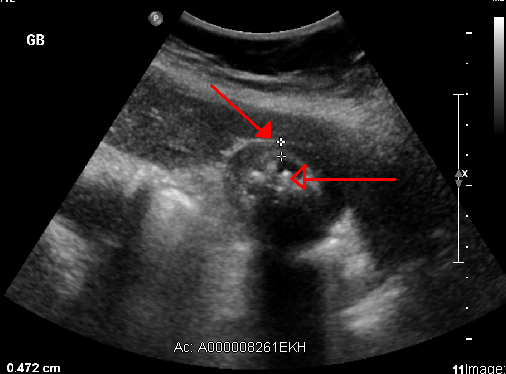
Gallstones
Gallstones are also called cholelithiasis.
The gallbladder contains solid, rounded stones because of precipitation of cholesterol (cholesterol stones) or bilirubin (bilirubin stones) in bile.
Gallstones may be due to:
- Supersaturation of cholesterol or bilirubin
- Reduced phospholipids (e.g. lecithin) or bile acids (usually enhance solubility)
- Stasis
Cholesterol stones (yellow) are the most prevalent type (ninety percent), particularly in the West.
Gallstones are typically radiolucent (10 percent of gallstones are radiopaque because of associated calcium).
Risk factors for the development of gallstones include:
- Higher weight
- Female
- Fertile
- Age (40 years or older)
- High levels of estrogen (women, obesity, many pregnancies, and oral contraceptives)
- Clofibrate use
- Native American ancestry
- Crohn’s disease
- Cirrhosis
Bilirubin makes up the pigmented bilirubin stones.
Bilirubin stones are normally radiopaque.
Risk factors specific to bilirubin stones include:
- Extravascular hemolysis (increased bilirubin in bile)
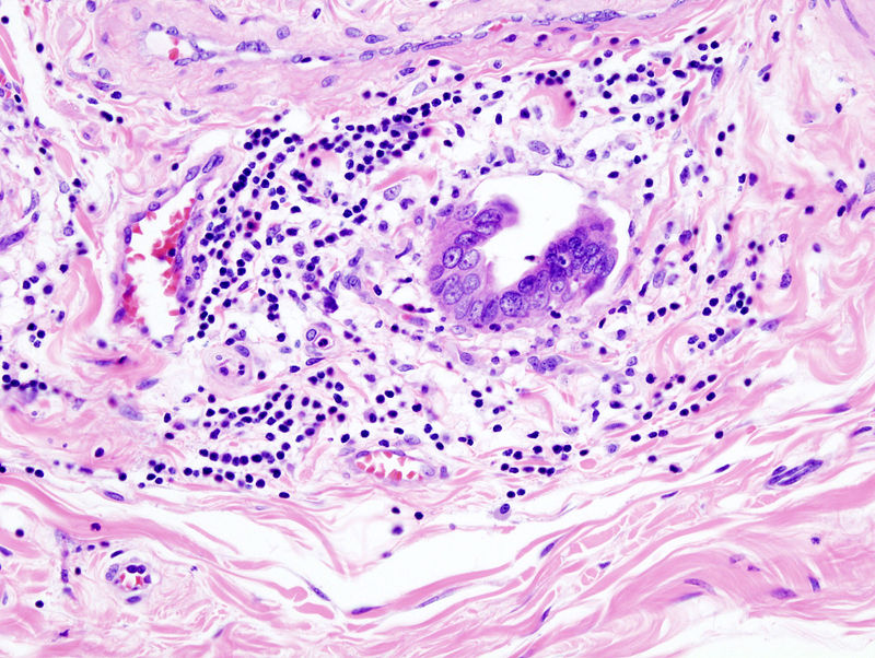
- Biliary tract infection (e.g. E. coli, Ascaris lumbricoides, and Clonorchis sinensis)
A common roundworm called Ascaris lumbricoides infects people worldwide, especially in places with poor sanitation (through fecal-oral transmission).
The biliary tract is infected by the endemic Clonorchis sinensis (Chinese liver fluke), which raises the risk of gallstones, cholangitis, and cholangiocarcinoma.
Gallstones are generally asymptomatic.
Complications of bilirubin stones include:
- Biliary colic
- Acute cholecystitis
- Chronic cholecystitis
- Ascending cholangitis
- Gallstone ileus
- Gallbladder cancer
Biliary Colic
Biliary colic presents with right upper quadrant pain that comes and goes is brought on by the gallbladder contracting against a stone that is stuck in the cystic duct.
If the stone passes, the symptoms of biliary colic subside.
Acute pancreatitis or obstructive jaundice may be caused by common bile duct blockage.
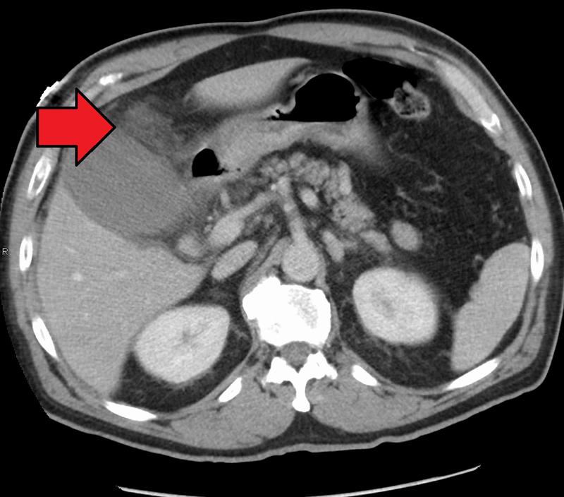
Acute Cholecystitis
Acute cholecystitis is inflammation of the gallbladder wall.
Acute cholecystitis may be due to an impacted stone in the cystic duct that causes inflammation, bacterial overgrowth (E. coli), and dilatation with pressure ischemia.
Symptoms of acute cholecystitis include:
- Right upper quadrant pain that radiates to the right scapula
- Fever
- Leukopenia (low white blood cell count)
- Nausea
- Vomiting
Lab findings in acute cholecystitis show a high level of serum alkaline phosphatase (from duct injury).
If acute cholecystitis is not treated there is a chance for gall bladder rupture.
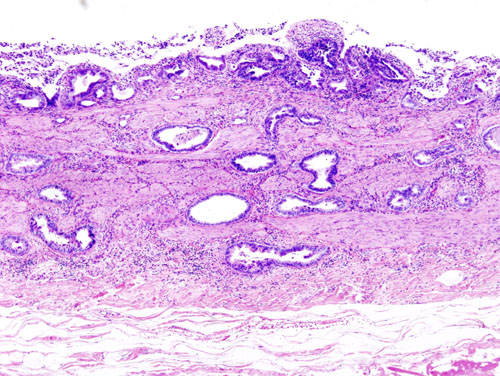
Chronic Cholecystitis
Chronic cholecystitis is chronic inflammation of the gallbladder.
Chronic cholecystitis may be the result of long-term cholelithiasis-related chemical irritation, with or without concurrent episodes of acute cholecystitis.
Chronic cholecystitis is characterized by the gallbladder mucosa herniating into the skeletal wall (Rokitansky-Aschoff sinus).
Symptoms of chronic cholecystitis include:
- Right upper quadrant ache, particularly after eating
- Fatigue
Porcelain gallbladder is a complication of late stage chronic cholecystitis.
Porcelain gallbladder is a shrunken, hard gallbladder because of chronic inflammation, fibrosis, and dystrophic calcification.
Porcelain gallbladder findings vastly increases the risk for carcinoma of the gallbladder.
Cholecystectomy is the recommended course of action for chronic cholecystitis, especially if a porcelain gallbladder is present.
Ascending Cholangitis
Ascending cholangitis is a bacterial infection of the bile ducts.
Ascending cholangitis is typically brought on by an escalating gram-negative intestinal infection.
Symptoms of ascending cholangitis include:
- Stomach discomfort
- Jaundice
- Sepsis
There is a higher prevalence of choledocholithiasis (stone in biliary ducts) in ascending cholangitis.
Gallstone Ileus
Gallstone ileus occurs when the small bowel is obstructed by a gallstone.
A predisposition to gallstone ileus may occur because of fistula formation between the small bowel and gallbladder as a result of cholecystitis.
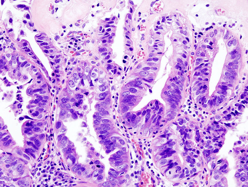
Gallbladder Carcinoma
Gallbladder carcinoma is a malignant lesion of the gallbladder.
The glandular epithelium that lines the gallbladder wall is where gallbladder carcinoma develops.
Risk factors for gallbladder carcinoma include:
- Gallstones
- Acute cholecystitis
- Chronic cholecystitis
- Porcelain gallbladder
An older woman with cholecystitis is the classic type of individual susceptible to gallbladder carcinoma.
Gallbladder carcinoma has a poor prognosis.


































