Neurodegenerative Disorders Pathology Video
Neurodegenerative Disorders
Neurodegenerative disorders are degenerative conditions that effect the central nervous system (CNS).
In this section we present the following neurodegenerative conditions:
- Dementia
- Alzheimer disease
- Vascular dementia
- Pick disease
- Parkinson disease
- Huntington disease
- Normal pressure hydrocephalus
- Spongiform encephalopathy
Dementia
Dementia is an impaired ability of cognitive function.
Cognitive functions that are commonly affected in dementia include:
- Activities of daily living (ADLs)
- Memory
- Recall
- Thinking
- Decision making
Dementias typically show loss of neurons within the gray matter, which is often brought on by protein buildup that harms neurons.
Degeneration of the brainstem and basal ganglia causes movement abnormalities, while degeneration of the cortex causes dementia.
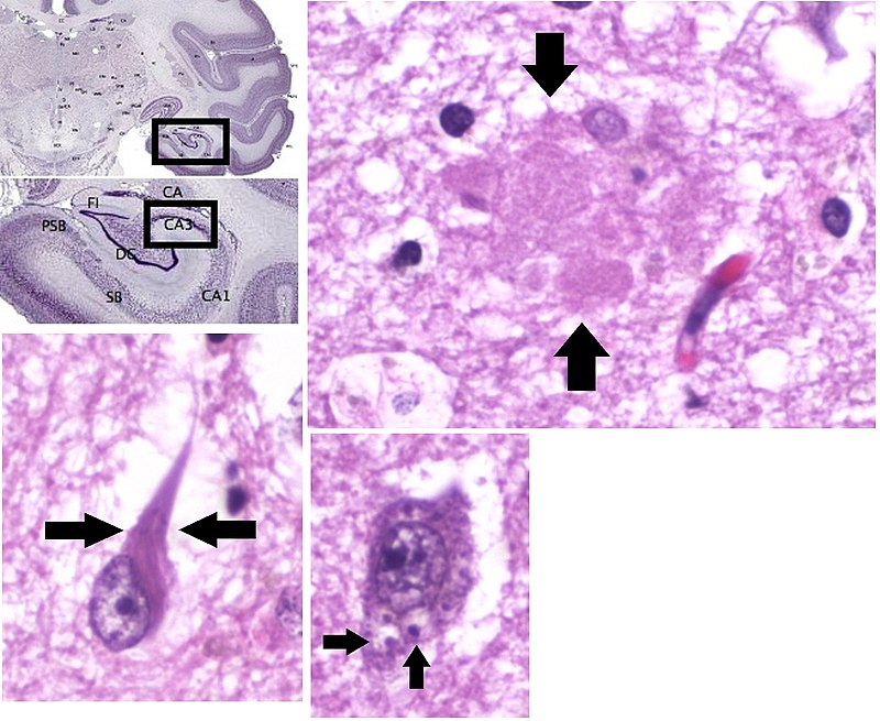
Alzheimer’s Disease
Alzheimer’s disease is a degenerative condition of the brain, specifically the cortex.
Alzheimer’s disease is the most common cause of dementia.
Patients with Alzheimer’s disease may develop mutism and even become immobile.
Patients with Alzheimer’s disease are also more prone to infections, which are a leading cause of death.
Early Alzheimer’s disease does not exhibit focal neurologic abnormalities.
The majority (~95%) of Alzheimer’s disease cases are sporadic and affect the elderly.
The risk for developing Alzheimer’s disease increases with age, doubling every five years after the age of 60-years-old.
Early-onset Alzheimer’s disease is seen in familial cases of Alzheimer’s disease, and are associated with presenilin 1 and presenilin 2 gene mutations.







