Pulmonary Hypertension Pathology Video
Pulmonary Hypertension
Pulmonary hypertension refers to a form of high blood pressure that affects the pulmonary circuit (mean arterial pressure > 25 mmHg; normal is 10 mmHg).
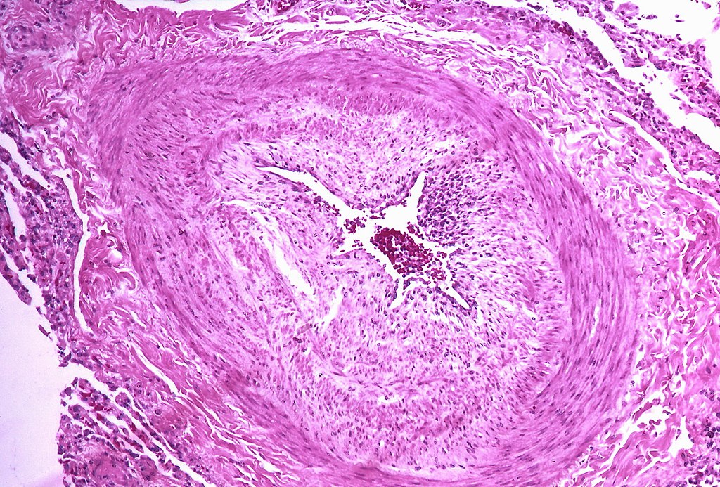
Pulmonary hypertension condition is characterized by atherosclerosis of the pulmonary trunk, smooth muscle hypertrophy of pulmonary arteries, and intimal fibrosis.
Plexiform lesions are seen with severe, long-standing pulmonary hypertension.
Extreme pulmonary hypertension may lead to right ventricular hypertrophy with eventual cor pulmonale characterized by exertional dyspnea or right-sided heart failure.
Pulmonary hypertension is classified either as primary or secondary based on etiology.
Primary Pulmonary Hypertension
Primary pulmonary hypertension most prevalent among young female adults.
The cause of primary pulmonary hypertension is unknown.
Some familial forms of primary pulmonary hypertension are attributed to the inactivating mutations of BMPR2, causing the proliferation of vascular smooth muscle.
Secondary Pulmonary Hypertension
Secondary pulmonary hypertension is caused by underlying diseases or other known risk factors.
The most common causes are of secondary pulmonary hypertension include:
- Hypoxemia (lung diseases)
- Increased volume in the pulmonary circuit (e.g., congenital heart disease)
Secondary pulmonary hypertension may also arise with recurrent pulmonary embolism.





